O femeie a trăit 30 de ani cu un ac în plămân fără să știe. Descoperirea l-a șocat pe un reputat medic: „Am înghețat”
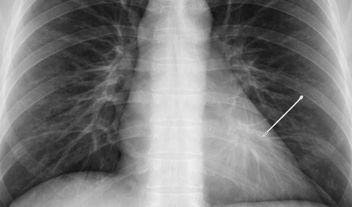
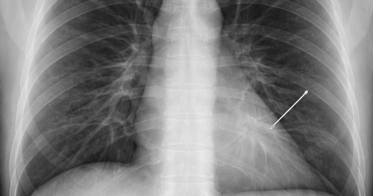
Un caz medical neobișnuit a fost descoperit întâmplător la o femeie de 55 de ani, în timpul unui control de rutină: o radiografie a arătat prezența unui ac de cusut în plămânul stâng, care ar fi rămas în organism, timp de aproape 30 de ani.
Descoperirea a fost relatată de medicul radiolog Nicolae Sârbu, care spune că imaginea l-a surprins chiar și după 20 de ani de experiență în imagistică medicală.
„Radiografia care m-a lăsat fără cuvinte după 20 de ani de experiență. În radiologie vezi de toate. După 20 de ani, crezi că nimic nu te mai poate surprinde. Și totuși. O pacientă de ~55 de ani vine pentru o radiografie pulmonară de rutină. Control periodic, nimic special. Pun radiografia pe ecran. Și îngheț. În plămânul stâng, clar vizibil, un ac de cusut”, a relatat medical.
Reacția pacientei: „Am uitat de el”
În timpul investigației, echipa medicală a întrebat pacienta dacă își amintește vreun incident.
„O intrebăm pe pacientă: <Doamnă, ați avut vreodată un accident cu un ac de cusut?> Surprinsă, începe să râdă: <Acum 30 de ani, când eram tânără, am înghițit un ac din greșeală. Îl țineam în gură când coaseam. M-am speriat, dar nu m-a durut, nu am mers la urgență, mi-am zis că va trece... și am uitat de el. 30 de ani>”, a spus femeia.
Radiologul spune că acul ar fi rămas în organism fără să provoace probleme majore: „30 de ani. Acul migrase și stătea cuminte în plămân fără să facă probleme.”
Medicul a subliniat caracterul rar al unei astfel de situații: „Am rămas fără cuvinte. Corpul uman e extraordinar. Se adaptează. Supraviețuiește. Își creează propriile soluții. Și noi, radiologii, avem privilegiul să vedem aceste povești ascunse în imagini.Fiecare imagine e o carte. Trebuie doar să știi să o citești”, a încheiat medicul.
Profesorul Nicolae Sârbu este unul dintre medicii radiologi români cu formare internațională extinsă, cu stagii și activitate în centre universitare din Barcelona, SUA (Bethesda), Lille și Bruxelles. Este supraspecializat în radiologie musculo-scheletală și neuroradiologie deținător al Diplomei Europene de Neuroradiologie (EDiNR): certificat al Societății Europene de Radiologie (ESR) în imagistică musculo-scheletală; profesor universitar la Facultatea de Medicină și Farmacie din cadrul Universității „Dunărea de Jos” din Galați.
Sursa: adevarul.ro

